新突破:我院首例经导管二尖瓣钳夹术顺利完成植入
11月10日,广西医科大学第一附属医院心血管内科伍伟锋教授、桂春教授、龙曼云主任医师团队,在超声科吴棘教授和邓燕主任医师心脏超声引导下,顺利完成院内 首例微创经导管二尖瓣钳夹术(MitraClip)。
此次手术的成功也标志着医院在瓣膜病微创介入治疗技术取得了新的突破。


患者为57岁男性,因反复呼吸困难入院,术前心脏彩超显示心房心室明显增大,心肌收缩功能下降,重度二尖瓣反流,二尖瓣后瓣脱垂(P3区)。 患者全麻后,穿刺股静脉,在超声引导下穿刺房间隔,穿刺高度4.0cm,将MitraClip独特的三层双调弯导管和输送系统送入患者左心房,到达二尖瓣A3P3反流处,在经食道超声引导下,通过评估二尖瓣反流位置、抓捕位置、反流程度,精准夹合,成功植入1个二尖瓣夹。

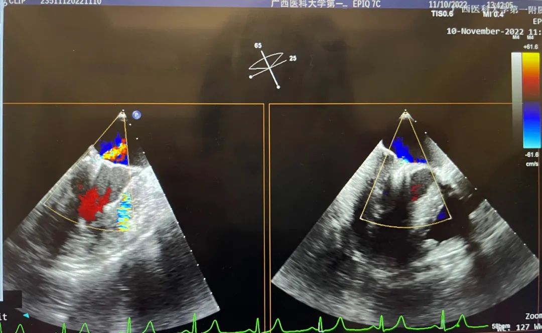
术前

术后
术后实时超声显示二尖瓣反流明显改善,术前反流4+,术后小于1+,跨瓣平均压差1mmHg,左上和右上肺静脉逆流明显改善,血压升高恢复正常,其他各项生理指标正常,手术顺利完成。

桂春教授介绍,二尖瓣反流(Mitral Regurgitation,MR)是最常见的心脏瓣膜疾病之一,病史长,药物治疗效果差,严重影响患者生活质量和生命安全。以往二尖瓣反流治疗最有效的手段是心外科二尖瓣修复或人工瓣膜置换,但外科手术创伤大,很多患者因为心功能差、高龄、合并症多等高危因素而无法耐受外科开刀手术,使得很多高危重症患者未得到有效治疗,还有一些患者因为畏惧外科手术而耽误了治疗。
数据显示,重度二尖瓣返流患者如果不治疗,一年内的死亡率达到57%。
与传统治疗方式相比,MitraClip创伤小、安全性高,术中无需体外循环,术后恢复较快,在有效性方面,MitraClip能显著降低二尖瓣反流,治疗效果不劣于传统外科手术。
1.什么是二尖瓣反流?

2.什么是MitraClip?
经导管二尖瓣钳夹术(MitraClip)治疗二尖瓣返流已被证实是一种安全的治疗策略,是无需开放式心脏手术的新型微创治疗法。
MitraClip使用特制的二尖瓣夹合器,经股静脉进入,穿刺房间隔,进入左心房及左心室,在三维超声及 DSA 引导下,使用二尖瓣夹合器夹住二尖瓣前、后叶反流部位,使二尖瓣在收缩期由大的单孔变成小的双孔,从而明显减少二尖瓣反流,阻止心脏扩大,改善心功能。
